Our services
This is what we can do for you and your teeth
 
    Exams & Cleanings
Dental Exams & Cleaning
Your first visit with us will most likely be a complete dental exam and cleaning. During the exam we will take x-rays to check for cavities. We will also check the tissue around your teeth for “gum” disease called periodontitis.
Did you know that 1 out of every 2 Americans suffers from gum disease? Gum disease is the leading cause of tooth loss and is strongly associated with other chronic conditions, including diabetes and heart disease.
Gum disease is often silent, meaning you may not have any pain until it has reached an advanced stage. It is very important to be evaluated for this condition
Other things we evaluate during your exam and cleaning:
- Teeth grinding/TMJ pain
- Oral cancer screening
- Blood pressure screening
- Obstructive Sleep Apnea screening
- Anything you wish to change about your smile
If you need treatment, we will do our best to create a plan that works for you. It is our job to educate you on all of your options and let you decide what you want to do.
We look forward to serving your dental needs!
Dental Implants
Dental implants have become the preferred standard of care when replacing missing, damaged, or deformed teeth. Dental Care of Lacey is Lacey's top choice for dental implants. We utilize the latest in guided implant technology.
Implants are titanium posts that screw into the bone to replace the root of the tooth. Implants can be used in the following ways:
- Replacement of one or more missing teeth
- Support of a bridge to replace multiple teeth
- Support of a non-removable full or partial denture

Some of the benefits of a dental implant versus a bridge include:
- A bridge requires aggressive tooth reduction of healthy teeth that are supporting the bridge. An implant saves the adjacent teeth.
- A bridge is difficult to keep clean
- Implants allow you to floss and clean the area just like a natural tooth
- Implants preserve the bone level
- Implants have a success rate of 98%
You always have options for different kinds of treatment. We will of course present you with the most ideal option, but we will do our best to find other more economical ways to help you achieve your goals.
Dentures & Implants
If you’re a denture wearer, you know from experience that even when dentures fit well, over time, bone and gums change which causes dentures to loosen, rock side to side, create sore spots, and even fall out.
Dental implants give you many options to solve these problems.
One option...is to get 1-3 implants to hold your denture in place. The denture clicks in and out of the implant(s). No more sticky adhesives, or food getting caught underneath your removable dentures. With dental implants, you'll no longer need to settle for ill-fitting, poorly functioning, or unsecured dentures.
Another option...is to get 4-6 implants to get a completely implant supported prosthesis. This is like getting all your teeth back! You don’t have to take anything in and out because it is permanently fixed in your mouth. Nothing on the roof of your mouth, and no more putting your teeth in a glass at the end of each day.
There are many other options. Please call today for a free consultation to discuss these options with us.
Sedation Dentistry
Dental Fears?
If going to the dentist makes you anxious or scared, you are not alone. Dental fears are very common. We genuinely enjoy helping individuals through their dental visits, and help them overcome their fears. We will not judge the condition of your teeth and gums. We want to help you achieve the smile you’ve always wanted.
The first thing we will do is to listen. What are your fears? What are your needs? What are your wishes? Together we will decide what treatment is needed and how we can best help you through your dental visits.
Sedation Options
We want your dental appointment to be as painless and comfortable as possible. We have several options of sedation to help you be more comfortable at our office.
Nitrous Oxide
through a nose hood, and is administered throughout the entire procedure. Nitrous oxide elevates the general mood and can evoke an overall sense of well-being. Most importantly, it relieves anxiety and reduces pain during the procedure. You are able to drive yourself to and from each appointment with nitrous oxide.
Oral Conscious Sedation
Oral medication is provided prior to treatment and then nitrous oxide is added to induce a more profound state of sedation. The patient is still “awake” but the senses are dulled. This means that most patients cannot remember the pain, smells, or noises associated with the procedure. The patient will need a driver to and from the appointment, when oral medication is used.
IV Sedation
Patients who have previously experienced IV sedation report feeling like they slept through the entire procedure. A procedure taking several hours will feel like minutes to the patient. This type of sedation is typically used for longer procedures or more complicated oral surgeries, but can also be used for simple fillings or even cleanings. The patient will need a driver to and from the appointment, with IV sedation.
Periodontal Treatment
Cleaning/Gum Treatment
Good oral hygiene is important not only for your smile, but for your overall health as well. Regular dental exams and professional cleanings can prevent these and many other health problems. Careful and frequent brushing with a toothbrush helps to prevent build-up of plaque bacteria on the teeth. Proper oral hygiene is crucial to maintaining the overall health and appearance of your teeth.
Teeth cleaning by a professional removes tartar (mineralized plaque) that may develop even with careful brushing and flossing, expecially in areas that are difficult to reach in routine tooth brushing. Profwssional cleaning includes tooth scaling and tooth polishing and debridement if too much tartar has accumulated. Between cleanings by a dental hygienist, good oral hygiene helps to prevent cavities, tartar build-up, and gum disease.
What Is Gum Disease?
Gum disease can be broken down into two different stages, gingivitis and periodontitis.

Gingivitis - Gingivitis can be described as sore, red, bleeding, and inflamed gums caused by bacteria, calculus, systemic medical conditions, hormonal imbalances, or sometimes medications. Gingivitis symptoms will present as swollen, red, puffy gums that bleed when you brush or floss. Unresolved long term gingivitis can contribute to a more serious condition known as periodontitis.
Periodontitis - Periodontitis (or Periodontal disease) is a condition that involves the loss of connective tissue (gum tissue) attachment around the teeth, deep gum pockets, sometimes combined with receding gums (or gum recession), and associated bone loss. Bone loss around our teeth is extremely concerning, because the bone is what keeps our teeth stable and strong. Long term advanced periodontitis ultimately can lead to pain, gum infections and tooth loss.
We recommend that patients of all ages brush and floss their teeth at least twice a day, in addition to undergoing regular dental exams and professional cleanings every six months. Truly, your dental health requires an investment on your part. As such, you will want to make sure that you entrust the health of your family’s teeth to your reputable family dentist.
 
    Whitening
Teeth Whitening
Here at Dental Care of Lacey, we know how important your smile is to you. There are many ways to achieve a whiter, healthier looking smile. Professional teeth whitening costs can be minimal when compared to more complex treatment with porcelain restorations. Even people with sensitive teeth can take advantage of laser tooth whitening for a smile that dazzles. .
Tooth or Teeth Whitening is a common procedure in general dentistry but most especially in the field of cosmetic dentistry. As a person ages the adult teeth often become darker due to changes in the mineral structure of the tooth, as the enamel becomes less porous; teeth may also become stained by bacterial pigments, foodstuffs and tobacco. Certain antibiotic medications (like tetracycline) can also lead to teeth stains or a reduction in the brilliance of the enamel.
We offer the following teeth whitening options.
In-Office Whitening
The in-office procedure involves application of the peroxide based product and utilizing a high intensity light or laser to enhance the whitening. The solution strength can vary from 15-35% carbamide peroxide gel and is applied several times, rinsed off and reapplied, getting teeth an average of four to six shades lighter in less than an hour.
Custom Take Home Whitening Trays
Take-home whitening systems can utilize the same concentration of peroxide as but tend to have flavoring or fluoride added for improved taste and reduced sensitivity. Custom fit whitening trays are made and patients are sent home with the trays, whitening gel and instructions. Dispensing the solution into the trays and wearing them for up to 2 hours a day can get a similar result as in-office treatments, but it may take up to two weeks. Both in-office and at-home procedures are considered safe, if done under the supervision of the dentist.
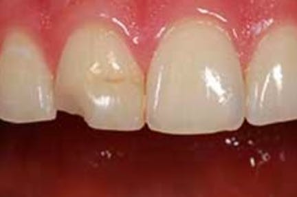
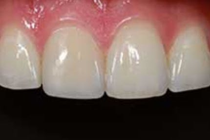
Fillings & Crowns
Fillings
For many years now, silver fillings have been used to restore decayed teeth. Over time, teeth tend to crack as a result of the expansion and contraction of the silver when exposed to the hot and cold liquids we drink. These fractures start off small and are difficult to detect. Eventually the fractures go deeper and cause temperature and pressure sensitivity when biting, or cause large portions of the tooth break off. In many instances a root canal procedure becomes necessary to resolve the symptoms. Additionally, it becomes more difficult and costly to restore the tooth.
A more preventative approach is to replace silver fillings before cracking occurs, with new composite (tooth colored) fillings or porcelain-bonded restorations. This usually prevents further deterioration of the tooth. Dental composites chemically adhere to the tooth and binds it together restoring strength and integrity. Composites are typically as strong as the original tooth and can be formulated to match your tooth color. You’ll be pleased with how natural they feel alongside your original teeth.
Crowns
A crown, or “cap,” is generally required when a significant portion of a tooth has been destroyed by decay, fractures or excessive wear. Crowns can also be used for cosmetic purposes to improve color and shape. Unsightly old-style porcelain metal crowns have been replaced with today’s all-porcelain crowns, which look nearly identical to natural teeth.
Invisalign
We are a Certified Invisalign Provider
 Consider Invisalign treatment to get the beautiful straight teeth you've always wanted — without braces. Like braces, Invisalign shifts your teeth into a straighter position. Invisalign might not work for more complex cases, but it is certainly an option you and your dentist can consider. A complimentary consultation with your doctor can determine if Invisalign clear aligners are right for you.
 Consider Invisalign treatment to get the beautiful straight teeth you've always wanted — without braces. Like braces, Invisalign shifts your teeth into a straighter position. Invisalign might not work for more complex cases, but it is certainly an option you and your dentist can consider. A complimentary consultation with your doctor can determine if Invisalign clear aligners are right for you.
What is it?
Invisalign treatment uses a series of virtually invisible, removable, and comfortable aligners that allow you to smile more during treatment as well as after. Invisalign clear aligners are made with 3D computer imaging technology and has been proven effective. More than 70% of orthodontists in the US and Canada are certified to administer Invisalign treatment.
Why would I want it?
Not only are the aligners virtually invisible, they are removable, so you can eat and drink what you want while in treatment. Plus, brushing and flossing are no problem. They are also more comfortable than traditional braces, with no metal or wires, which also usually means you spend less time in your doctor's office getting adjustments. Invisalign treatment also allows you to view your own virtual treatment plan when you start so you can see how your straight teeth will look when your treatment is complete.
How does it work?
You wear each set of aligners for about two weeks, removing them only to eat, drink, brush, and floss. As you replace each aligner with the next in the series, your teeth will move — little by little, week by week — until they have straightened to their final positions. You'll visit us about once every six weeks to ensure that your treatment is progressing as planned. Total treatment time averages nine to 15 months and the average number of aligners worn during treatment is between 18 and 30, but both will vary from case to case.
For more information on Invisalign, you can visit the Invisalign website.
 
                             
                            